Serving the Farmington Valley region of CT

Smile Gallery

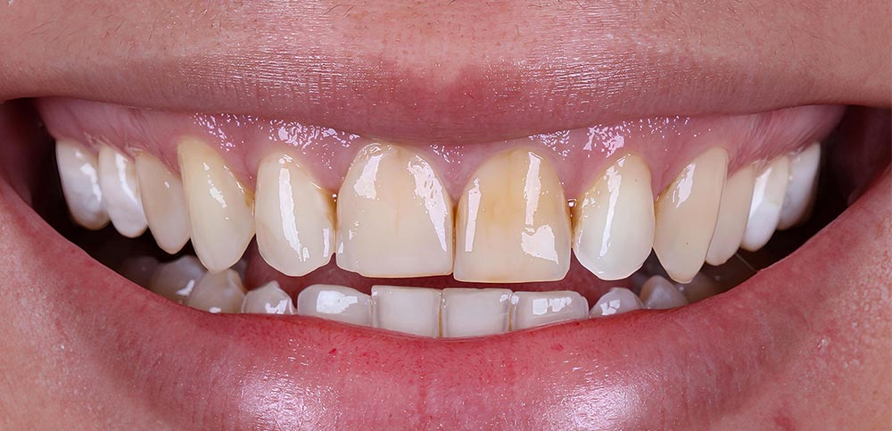
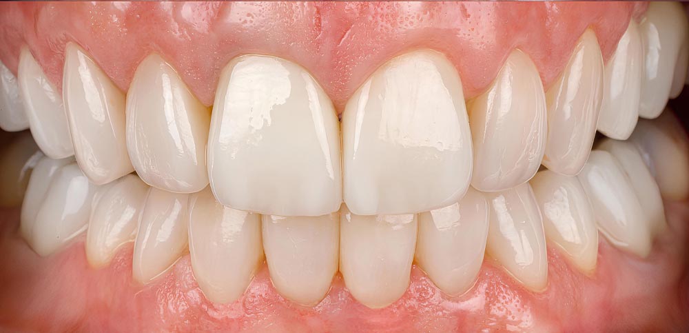
Case A

Before Treatment
Before
After Treatment
After

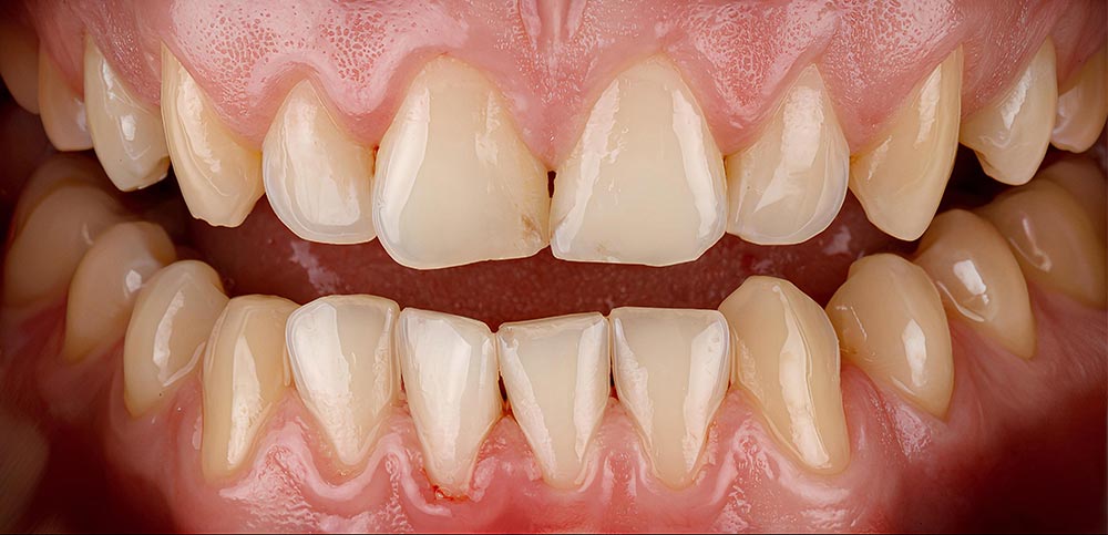
Case B

Before Treatment
Before
After Treatment
After

Case C

Before Treatment
Before
After Treatment
After

Case D

Before Treatment
Before
After Treatment
After

Case E

Before Treatment
Before
After Treatment
After

Case F

Before Treatment
Before
After Treatment
After
Favicon - Blue Sky Dental

Request A Free Consultation

We are excited to meet you soon! Come in for a free consultation!